A diagnózis örökre megváltoztatta az életüket: láthatatlan betegségeik vannak!
A közelmúltban egy (vándor) poszt indult útjára a legnépszerűbb közösségi portálon, ami a „láthatatlan” betegségekre hívta fel a figyelmet, mert bizony vannak, akiknek egy-egy diagnózis örökre megváltoztatta az életét: azóta is tanulnak, dolgoznak, de van mögöttük fájdalom, fáradtság, beletörődés, valamint újra és újra felbukkanó kérdés: miért pont én? Betegségükről azonban kevesen tudnak, mert ezek „láthatatlanok” és „csendesek” a környezet előtt. Gyógyszereket szednek, és többek az orvostudomány jelenlegi állása szerint soha nem gyógyulnak meg. Crohn-, cukor-, autoimmun- és PCO-s betegek története következik...
CROHN-BETEGSÉG
BETTY: ”ELSŐ GONDOLATOM AZ VOLT, HOGY EGY TOTÁLIS CSŐD VAGYOK”

„2015 decemberében diagnosztizálták nálam a Crohn-betegséget, de akkorra már nagyon rossz állapotba kerültem. Hogy mi volt az első gondolatom? Az, hogy egy totális csőd vagyok, kétségbeestem, pánikoltam, halálfélelmem lett és azt éreztem, hogy ez a világvége. Kilátástalannak tűnt minden, csak a miértekre kerestem a választ. A legnehezebb az elfogadás volt, hogy mikor már nyugodtan élhetnél és a szerelem is rádtalál végre, akkor te mégis egy görcsölő, szenvedő rongydarab vagy. Amikor a legjobb formádat kellene hoznod, akkor nem tudsz úrrá lenni a testeden. Mikor kötelességeid lennének a gyermekeid felé, ők aggódva állnak melletted, hogy most akkor hogyan tovább. Szemben álltam egy diagnózissal, ami azt állította, hogy gyógyíthatatlan betegségem van, és ez csak szinten tartható. De mi ez a szint? Eddig a szint az volt, hogy kötetlenül, korlátok nélkül élhettél fájdalmak nélkül. Most az a szint, hogy ki tudsz egyedül menni a mosdóba. És amúgy is, miért én, már megint miért én kaptam. Rengeteg tépelődés, önmarcangolás, valamint hangulatingadozás lent és fent, de leginkább lent. Ez jellemezte a mindennapjaimat. Rengeteg gondolat cikázott a fejemben és mikor az önsajnálaton túlléptem, elkezdtem keresni a megoldást, ami sokszor vakvágányra futott. Mi volt eddig? Oda mentem, ahová akartam, most oda, ahol biztosan van illemhely. Korábban ihattam, ehettem bármit, most pedig még a pirítóstól is görcsölhetek. Kaptam egy csomó korlátot, amit többé nem tudok megkerülni, csak megmászni és elfogadni. De hogyan? Mikor éjszaka még egy megfordulás is több perces móka. Mikor a görcseidtől nem látsz! Mikor nem tudod, hányni kell vagy csak szimplán rosszul vagy! Mikor lépni nem tudsz a fájdalomtól! Mikor olyan gyenge vagy, hogy a fejedet nem tudod felemelni! De pozitív akarsz lenni és menni tovább. Mert nincs más, mint előre, bármi áron is. És most mi a legnehezebb benne? Hogy még mindig benne vagy, benne is leszel, míg élsz. Megkaptad és élned kell vele, cipelned, mint egy hátizsákot, mert ez a te sorsod, karmád. Minek is nevezzelek? Rá kell jönnöd, hogy kaptál egy szó szerinti élettársat, és meg kell békélned vele, sőt, talán még szeretned is lehet. Na és mikor nevet is adsz neki, szóval a téboly megkezdődött: CROHN PAPA. Innentől indul a közös utazásotok. Hogy viszonyul a betegségemhez a környezetem? Hűha, inkább szánakozóan, lesújtóan, eltemetnek 2 perc alatt. Igen, érdekes helyzetek alakulnak ki, mert én vigasztalom őket, hogy lesz ez jobb is. A másik véglet, aki azt mondja nekem, hogy: nem is látszik rajtad. Hát igen, a megszokott az, ha beteg vagy, mutasd is annak magad. De én nem vagyok hajlandó így viselkedni, szeretek élni, még ha ezt a betegséget is kaptam. Azt gondolom, lehetne rosszabb és mindenben a pozitívumot keresem, mint ebben a betegségben is. Ez egy tanulási folyamat: megismerni a tested tűrőképességét, a fájdalom határaidat, és megtanít arra, hogy nem vagy egy hero, szóval nem bírsz mindent, hiába akarod. Úgy szoktam fogalmazni, fejben határtalan vagyok, fizikálisan pedig gigantikus határaim vannak. Nagyon érdekes az az állapot, mikor van egy rossz időszak és fejben felépíted, menni fog, bírod, megcsinálod, és csak ülsz az ágy szélén és gondolkodsz, hogyan mozdulj is úgy pár centit, hogy ne fájjon. Van egy kedvenc mondatom, amit mondtak nekem: Pedig kár érted! Ez a mondat nem sújtott le, nem lettem tőle depis, engem arra sarkall, hogy megmutassam, bebizonyítsam, lehet teljes, boldog életet élni, így is. Szóval szoktam beszélni róla és a barátaimat, családtagjaimat, ismerőseimet érdekli az, hogy: hogy vagyok éppen, milyen fázisát élem ennek a betegségnek. Úgy gondolom, szerencsés ember vagyok ebből a szempontból, mert eddig mindenhol csak támogatást kaptam. Haragot éreztem e már? Ó hát sokszor, ezerszer, tízmilliárdszor. Nem mindig fenékig tejföl ez az érzés amúgy. Rengeteget kell azon dolgozni, hogy egy- egy pokoli helyzetből hogyan húzod fel magad. Elhangzanak az én számból is irdatlan bolondságok, feladás, hagyjon mindenki békén, néha még saját magam is nehezen viselem. Ezeket az állapotokat is meg kell élnem ahhoz, hogy mint a Turul madár hamvaimból, összeszedjem magam. De ehhez kell egy háttér, egy társ, egy család, barátok, és ami elengedhetetlen, egy ORVOS. Igen, így nagybetűvel, mert tényleg szerencsés ember vagyok, hogy a mostani orvosommal összehozott a sors. Mert teljes támogatást kapok tőle. Aki figyel arra, hogy éppen milyen a lelkiállapotom, tudok neki beszélni a félelmeimről, a hisztijeimről, aki türelmesen hallgatja, hogy én ezt nem, na kizárt. Aki türelmesen megvárja, rávezet, hogy higgyem el, ez jó, és mikor írom neki, hogy Doki, ez egy csodaszer és igazad volt, csak mosolyog. Akitől megkérdezhetem, hogy az agyadra mentem már, ugye? Erre a válasza az, hogy csak gyógyulj meg, az a lényeg, szóval ő egy KINCS”.
DIABÉTESZ
TAMÁS: „A SZÜLEIM A KARJUKBAN TARTOTTAK, ORVOSÉRT ROHANTAK”

„A betegségem 1988-ban derült ki, akkor 2 éves voltam. Egyre betegebb lettem, több orvos is vizsgált, de egyáltalán nem javult az állapotom, nem tudták, mi lehet a bajom, és végül kórházba is kerültem. Szokták mondani, hogy a gyermek 3-4 éves kora előtt nem emlékszik semmire. Nekem a mai napig megvan az a kép, amikor a szüleim a kórházban a karjukban tartottak, orvosért rohantak, és a testvérem maciját szorongattam. Pár napig küzdöttek az életemért, de végül is most itt vagyok. Kisgyerekként nem tudtam ezt az állapotot megkülönböztetni a "normális" élettől. Nekem ez a normális, 6 évesen az inzulint már magamnak adtam be. Persze, kiskoromban előfordult az is, hogy nem tudták egyes helyeken kezelni ezt az állapotot. Annyira nem volt elterjedve abban az időszakban a cukorbetegég vagy más néven diabétesz, hogy volt olyan intézmény, ami nem fogadott, mert nem tudta számomra biztosítani az étkezést. Ez még a 90-es évek elején volt. Az óvodába és általános iskolába, ahova jártam, nagyon segítőkészek voltak a tanítóim és a tanáraim. Délben például beengedtek egy külön helységbe, hogy megnézzem a vércukor szintemet és beadjam az inzulinomat. Volt olyan is, hogy napközis foglalkozás alatt a pedagógusnak mondtam, éhes vagyok, mindent félre dobott és a kiflit, meg amit talált, a kezembe is nyomott, hogy egyem meg. Akkoriban nem volt mobiltelefon és a takarító nénit küldték el a szüleimhez, hogy leesett a cukrom. Erről nem is tudtam csak akkor, amikor már édesanyám nem sokkal később szőlőcukros vízzel állított be az iskolába. Szegény néni gyorsan futhatott, mert ez egy pár perc alatt történt meg. Az egészben az volt a vicces, hogy nem is esett le a cukrom, hanem csak éhes voltam, mint egy normális gyerek). Nehézségeim talán leginkább az étkezésnél vannak, ugyanis oda kell figyelni, hogy mit-, mennyit-, és mikor eszem. Mennyi inzulint adjak be, mikor nézzem a vércukromat és ugye a folyamatos kontrollra járás a korházba, ami nekem már teljesen természetes közeg. A környezetem szerencsére nagyon elfogadó, édesanyám az ételeket a mai napig cukor nélkül készíti. A volt osztálytársaim pedig ugyanúgy kezeltek, mint bárki mást, hiszen külsőre nem látszott rajtam semmi, ugyanúgy jártam mindenhova, mint bárki más, sőt még fociztam és triatlonoztam is. Jó néhány éve inzulinpumpám van, ami nem feltűnő, viszont ha észreveszik, akkor általában megkérdezik, hogy mi is az, amit nagyon szívesen megmutatok. Ha elfogadja az ember ezt a helyzetet, akkor természetesnek tudja venni. Némi odafigyeléssel ugyan úgy lehet élni, mint nélküle. Járok dolgozni, bevásárolni, sportolni, mint bárki más, sőt, rendszeresen akadályfutó versenyeken veszek részt a barátaimmal. Ez is mutatja, hogy egy cukorbeteg is tud teljes értékű életet is élni!”
AUTOIMMUN BETEGSÉG
MARIANN: „EZZEL EGYÜTT KELL ÉLNI”

„Hat évvel ezelőtt kezdtem el gyanakodni, hogy valami baj lehet, mert foltokban hullott ki a hajam. Elmentem egy bőrgyógyász magánrendelésére és ott merült fel, hogy akár autoimmun betegség is okozhatja. Tüneteim voltak még a fejbőrömön és a homlokomon is. Vettek vért és aztán beigazolódott: autoimmun betegségem van. Félévente járok ellenőrzésre és rendszeresen gyógyszert szedek. A külvilág nem feltétlenül tud róla, hiszen nem voltak/vannak annyira látványos tüneteim. Első körben megrémített a diagnózis, de aztán utána olvastam és az orvos is megnyugtatott. Az autoimmun betegségnek ugyanis rengeteg változata van, én pedig viszonylag szerencsés helyzetben vagyok, mert a bőrtünetre kevéssé jellemző, hogy ezáltal a betegség megtámadná később a belső szerveket is. A tüneteim enyhültek, és el kellett fogadnom a betegséget, hiszen ezzel együtt kell élnem. Persze, feltettem a kérdést, hogy mi vezethetett idáig. Sok stressz ért előtte, talán emiatt lehettem autoimmun beteg…”
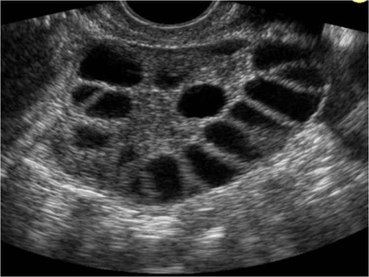
POLICITÁS OVÁRIUM SZINDRÓMA, INZULINREZISZTENCIA
ANETT: „MIÉRT VELEM TÖRTÉNIK EZ?”

„A Policisztás ovárium szindróma mellett inzulinrezisztenciám is van, valamint pajzsmirigy alulműködésem. A betegsègem, mármint a PCOS 2012-ben derült ki egy nőgyógyászati vizsgálat során. Ezután elmentem egy cukorterhelèses vizsgálatra, ahol kiderült, hogy inzulinrezisztenciám is van. Először persze arra gondoltam, mint minden normális ember, hogy miért velem törtènik ez? Aztán rájöttem, hogy ha jobban belegondolunk, ez nem is biztos, hogy rossz, ugyanis teljes èletmódváltásba kezdtem. Bejött a rendszeres sport az èletembe, a rendszeres, napi ötszöri ètkezès (persze az engedett szénhidrát-mennyiség az adott minden PCOS és IR-es betegnél is). Nekem 160g szènhidrátot kell ennem ötszöri ètkezèsben, naponta elosztva, ráadásul az sem mindegy, hogy lassú vagy gyors CH. Úgyhogy igazából ez volt a legnehezebb, hogy megszokjam ezt a fajta ètkezèst. Ráadásul időközben kiderült, hogy laktóz és tejcukor érzékeny is vagyok, úgyhogy ez sem segített az ètkezèsben. Valamint, ha bemèsz egy boltba Magyarországon, sajnos még mindig ott tartunk, hogy az egeszsègtelen ètelek sokkal olcsóbbak, mint az egészségesek.... A környezetemben eleinte furcsán fogadták, amikor 1-1 összejövetelen mondtam például egy cukros sütire, hogy én azt nem ehetem, mert nem jó a szervezetemnek. Anyukám viszont teljes mértékben segített, mindent a mai napig úgy főz vagy süt, hogy én is tudjak enni belőle. Szerencsére már egyre több ètteremben, és cukrászdában jelzik a CH tartalmát vagy, hogy van e benne valamilyen allergèn. A családom, ismerőseim persze tudják, hogy milyen betegsègem van. Haragot csak akkor èrzek, amikor 1-1 orvos azt mondja, hogy ilyen betegség nincs.... sajnos ilyen tapasztalatom is van. Nekik üzenem, hogy a pandèmia miatt nem tudtam rendszeresen edzeni járni és emiatt a diètám is volt, hogy megborult.... Nyáron pedig az egyik cisztám kipukkant, azt a fájdalmat nem kívánom senkinek sem!!! Most már szerencsére jól vagyok, és kezd helyreállni minden, de még nincs gyermekem, és a COVID miatt most minden orvosi vizsgálat nehezebben megy.”


